MEDED
ASSESSMENTS
Create. Analyze. Share.
POCUS SHOCK ASSESSMENT
Error text
1
Based on the ultrasound image, which shock etiology is most likely?

1 pts
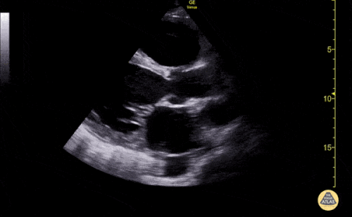
1
Based on the ultrasound image above, which shock etiology is less likely?

1 pts
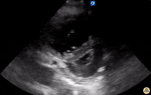
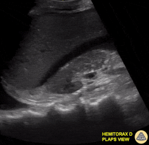
2
Based on the ultrasound image above, which shock etiology is most likely?

1 pts
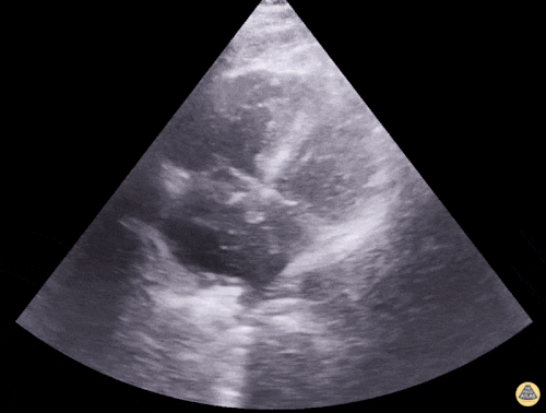
3
Based on the ultrasound image above, which shock etiology is most likely?

1 pts
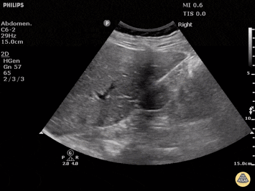
4
Based on the ultrasound image below, which shock etiologies are least consistent with this finding?

1 pts
5
Based on the ultrasound image above, which shock etiology is most likely?

1 pts
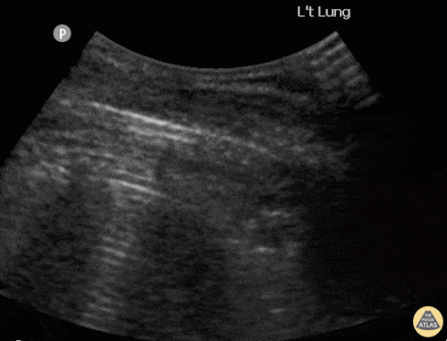
6
Based only on this single ultrasound image above, which shock etiology is less likely?

1 pts
7
Based on the ultrasound image above, which shock etiology is most likely?

1 pts
8
Based on the ultrasound image above, which shock etiology is most likely?

1 pts
10
Based on the ultrasound image above, which shock etiology is less likely?

1 pts